
Εργαστήριο - Επεξήγηση Εικόνων

Η παρούσα συλλογή μικρο-φωτογραφιών αποσκοπεί στο ν' αποκτήσει ο επισκέπτης της ιστοσελίδος μια εμπειρία για το πως απεικονίζεται ο θαυμαστός μικρόκοσμος των κυττάρων σε εργαστηριακές συνθήκες κάτω από το μικροσκόπιο. Πρόκειται για μια εκτεταμένη συλλογή μικρο-φωτογραφιών, που ελήφθησαν με την χρήση ανάστροφου μικροσκοπίου αντιθέτου φάσεως (phase-contrast inverted microscope), ειδικού για παρακολούθηση κυτταρικών καλλιεργειών και με την τεχνική HMC (Hoffman Modulation Contrast).
1Η ενότητα:
1α. Οι ινοβλάστες του ανθρώπου σαν κυτταρικές οντότητες: Mορφολογία - χρώση - λιπογένεση - αποικίες (CFU-F assay)
1β. Σχηματισμός ανθρωπίνου ινοβλαστικού στρώματος: Στάδια σχηματισμού - χρώση - διαπλοκή ινοβλαστών – λιπογένεση - Το συρρέον στρώμα του φυσιολογικού μυελού (confluent stroma) - Το μη-συρρέον στρώμα του μυελού στην οξεία μυελογενή λευχαιμία (non-confluent stroma)
1γ. Λιποκύτταρα: Mορφολογία - σχηματισμός αποικιών - χρώση – γήρανση -σύγκριση φυσιολογικών, με λιποκύτταρα μυελού οξείας λευχαιμίας.
2Η ενότητα: Η μέθοδος CAM είναι μακροπρόθεσμη καλλιέργεια δύο σταδίων (two-stage LTBMC), που εκτιμά το δυναμικό των αιμοποιητικών stem cells.
2α. Μ2-10Β4 ινοβλαστική σειρά υβριδίου ποντικού: Mορφολογία - χρώση - λιπογένεση - αποικίες (CFU-F assay).
2β. Σχηματισμός στρώματος με την Μ2-10Β4 κυτταρική σειρά: Στάδια σχηματισμού - χρώση - διαπλοκή ινοβλαστών – λιπογένεση.
2γ. Λιθοστρωτόμορφες περιοχές (Cobblestone Areas, CAs): Σχηματισμός - ωρίμανση - μικτές - μεγακαρυοκύτταρα σε CΑs - CΑs από φυσιολογικό μυελό - CΑs από μυελό μυελοδυσπλαστικού συνδρόμου.
2δ. Αποικίες αιμοποιητικών προγονικών κυττάρων (Colony Forming Unit, CFU-progenitor cells): CFU-E, BFU-E /mature/primitive), CFU-GM, CFU-M, CFU-Eos, CFU- Meg, CFU-GEMM
3Η ενότητα:
3α. Eπιμόλυνση κυτταροκαλλιεργειών.
3β. Αποκόλληση ινοβλαστικού στρώματος.
3γ. Καταμέτρηση εμπύρηνων κυττάρων με το αιμοκυτταρόμετρο Newbaüer (glass haemocytometer).
3δ. Κύτταρα από το υπερκείμενο υγρό μιας h-LTBMC (cytospin preparations).
4Η ενότητα:
4α. Καλλιέργεια καρκινικών κυττάρων της 5637 ανθρώπινης κυτταρικής σειράς (καρκινικό επιθήλιο ουροδόχου κύστεως).
4β. Καλλιέργεια κυττάρων της SaOS-2 ανθρώπινης οστεοβλαστικής σειράς (οστεοσάρκωμα).
Επεξήγηση εικόνων:
Εικ. 1α-1: Μεγάλος επιφανειακός επιπεδογωνιώδης ινοβλάστης με 4 μεγάλα ψευδοπόδια, σε συρρέον στρώμα καλλιέργειας φυσιολογικού μυελού των οστών, 24 ημερών. Είναι ορατός ο πυρήνας του στο κέντρο (βέλος) και το κοκκώδες κιτρινωπό κυτταρόπλασμα του. - Mεγέθυνση: x400 εικόνα
Εικ. 1α-2: Tρόπος διαπλοκής ινοκυττάρων σε καλλιέργειες φυσιολογικού μυελού οστών 92 ημερών. Διακρίνονται οι ευμεγέθεις πυρήνες δύο κυττάρων με τους περιεχόμενους πυρηνίσκους (σκούρες-κόκκινες κουκίδες) καθώς και οι άφθονες διαπλεκόμενες κυτταροπλασματικές αποφυάδες. - Χρώση: Σαφρανίνη - Μεγέθυνση: x400 εικόνα εικόνα
Εικ. 1α-3: Εικόνα με 3 αποικίες CFU-F. Περιέχουν >50 ατρακτόμορφους ινοβλάστες. Προέρχεται από καλλιέργεια δείγματος ανθρωπίνου φυσιολογικού μυελού, 11 ημερών. Οι αποικίες είναι προσκολλημένες στην βάση του δοχείου επώασης και ο περαιτέρω πολλαπλασιασμός τους δημιουργεί το συρρέον στρώμα. - Χρώση: Κρυσταλλικό ιώδες - Μεγέθυνση: x25 εικόνα
Εικ. 1β-1: Ινοβλαστικό δίκτυο από καλλιέργεια ανθρώπινου φυσιλογικού μυελού 18 ημερών. Διακρίνονται οι έντονα βαμμένοι πυρήνες των ινοβλαστών (βέλη) και ο τρόπος διαπλοκής των κυτταροπλασματικών αποφυάδων τους, κατά την δημιουργία συρρέοντος στρώματος. - Χρώση: Κρυσταλλικό ιώδες - Μεγέθυνση: x100 εικόνα
Εικ. 1β-2: Συρρέουσα στρωματική ινοβλαστική στιβάδα από καλλιέργεια φυσιολογικού μυελού 4 εβδομάδων · Χρώση: Κρυσταλλικό ιώδες · Μεγέθυνση: x25 εικόνα
Εικ. 1β-3: Συρρέουσα ινοβλαστική στιβάδα από καλλιέργεια 23 ημερών ανθρωπίνου φυσιολογικού μυελού των οστών. Διακρίνονται επιφανειακοί ατρακτόμορφοι ινοβλάστες, στους οποίους φαίνεται ο πυρήνας (βέλη), και το κοκκώδες κυτταρόπλασμά τους, με ελαφρά κιτρινωπή χροιά. Χαρακτηριστική είναι η γραμμωτή διάταξη των ινοβλαστών. - Μεγέθυνση: x200 εικόνα
Εικ. 1γ-1: Μακροπρόθεσμη καλλιέργεια 23 ημερών από φυσιολογικό μυελό των οστών. Απεικονίζεται αποικία νέων γιγαντόμορφων λιπωδών κυττάρων διατασσομένων Παράλληλα προς τους ινοβλάστες, σε συρρέον στρώμα. Σε ορισμένα διακρίνεται ο πυρήνας εκτοπισμένος στο άκρον του κυτταροπλάσματος, το οποίο είναι πλήρες λιποσταγονιδίων. Δεξιά δικρίνονται δύο ατρακτόμορφοι ινοβλάστες. - Mεγέθυνση: x400 εικόνα
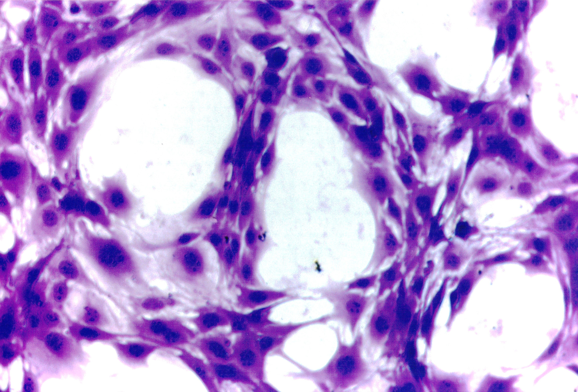
Εικ. 1γ-2: Mακροπρόθεσμη καλλιέργεια κυττάρων φυσιολογικού μυελού των οστών (62 ημερών). Παρουσιάζεται ένα γιγάντιο λιποκύτταρο ως ιδιάζον εύρημα. Ο πυρήνας του είναι πλήρως καλυμμένος από το πλήθος των λιποσταγονιδίων. Στο κέντρο του κυττάρου διακρίνονται λιποσταγονίδια διμερή, τριμερή και τετραμερή. - Μεγέθυση: x400 εικόνα
Εικ. 1γ-3: Δύο μεγάλα γηραλέα λιποκύτταρα από καλλιέργεια φυσιολογικού μυελού 60 ημερών. Αριστερά έχει αρχίσει η συσσωμάτωση των λιποσταγονιδίων, που επέρχεται προϊούσης της ηλικίας των κυττάρων και η οποία συνοδεύεται από μείωση της φωτοδιαθλαστικότητάς τους. Δεξιά έχει περατωθεί η συσσωμάτωση με την δημιουργία ενός τεραστίου λιποσταγονιδίου (σπάνιο εύρημα). Τα κύτταρα αυτού του είδους είναι εύθραστα. - Χρώση: Σαφρανίνη - Μεγέθυνση: x400 εικόνα
Εικ. 1γ-4: Αποικία γηρασμένων λιποκυττάρων από καλλιέργεια ανθρωπίνου φυσιολογικού μυελού, 13 εβδομάδων. Διακρίνεται η συσσωμάτωση των λιποσταγονιδίων τους. - Χρώση: Sudan Black - Μεγέθυνση: x400 εικόνα
Εικ. 2α-1: Καλλιέργεια κυττάρων 3 ημερών της κλωνικής σειράς Μ210Β4, από υβρίδιο ποντικού F1 γενιάς. Πρόκειται για κύτταρα ινοβλαστοειδούς μορφολογίας (ενδιάμεση μορφή ατρακτόμορφου ινοβλάστη και πεπλατυσμένου ενδοθηλιακού κυττάρου), με πυρήνα ευμεγέθη (βέλη), που περιέχει ικανό αριθμό πυρηνίσκων. Διαφαίνονται ο χαρακτηριστικός τρόπος διαπλοκής τους και οι κυτταροπλασματικές τους αποφυάδες, η δε ένταση της βαφής βαίνει αυξανόμενη από την περιφέρεια του κυττάρου προς το κέντρο. - Χρώση: Κρυσταλλικό ιώδες - Μεγέθυνση: x400 εικόνα
Εικ. 2α-2: Διαδοχική ανακαλλιέργεια συρρεόντων Μ210Β4 κυττάρων συνολικής διάρκειας 32 ημερών. Σε πολλά εξ αυτών παρατηρείται αρχόμενη συσσώρευση λιποσταγονιδίων χωρίς την προσθήκη υδροκορτιζόνης στο θρεπτικό υλικό της καλλιέργειας. - Μεγέθυνση: x400 εικόνα
Εικ. 2α-3: Χαρακτηριστικό ευμέγεθες επιπεδόμορφο Μ210Β4 λιποκύτταρο από καλλιέργεια δύο σταδίων 34 ημερών, προερχόμενο από μετασχηματισμό ινοβλαστικού κυττάρου (στο θρεπτικό υλικό περιέχεται υδροκορτιζόνη). Διακρίνεται πλήθος λιποσταγονιδίων που καλύπτουν όλο το κυτταρόπλασμα περιφερικά του πυρήνα του, σχηματίζοντας χαρακτηριστική μορφή δίκην δακτυλίου. - Μεγέθυνση: x400 εικόνα
Εικ. 2β-1: Στρωματικό ινοβλαστικό δίκτυο Μ210Β4 κυττάρων στα αρχικά στάδια σχηματισμού του. Διακρίνονται οι χαρακτηριστικοί σχηματισμοί δίκην δακτυλίου, που σχηματίζονται κατά την μερική συρροή των ινοβλαστικών κυττάρων (καλλιέργεια 2 ημερών, αποψυχθέντων από υγρό άζωτο κυττάρων). - Xρώση: Κρυσταλλικό ιώδες - Μεγέθυνση: x200 εικόνα
Εικ. 2β-2: Πλήρως συρρέον στρώμα (μονοστιβάδα) Μ210Β4 ανα-καλλιεργηθέντων κυττάρων, 24 ωρών. Παρόμοιας συρροής ακτινοβολημένη στοιβάδα χρησιμοποιούσαμε στα πειράματά μας στις δύο-σταδίων καλλιέργειες. Για κύτταρα που προέρχονταν από απόψυξη, η πλήρης συρροή παρατηρούνταν μετά περίπου 72 ώρες. - Χρώση: Κρυσταλλικό ιώδες - Μεγέθυνση: x200 εικόνα
Εικ. 2γ-1: Απεικόνιση δύο τυπικών λιθοστρωτόμορφων περιοχών, από δύο σταδίων καλλιέργεια φυσιολογικού μυελού 35 ημερών. Οι C.A. είναι κλώνοι αιμοποιητικών κυττάρων που εντοπίζονται κατά κανόνα κάτω από τα κύτταρα του στρώματος. Είναι κύτταρα μεγάλα, σκοτεινά, μη φωτοδιαθλαστικά στο μικροσκόπιο αντιθέτου φάσεως, και συχνά πολυγωνικoύ σχήματος. Η τυπική διάταξη των κυττάρων δημιουργεί χαρακτηριστικό σχηματισμό δίκην λιθοστρώτου. - Μεγέθυνση: x400 εικόνα
Εικ. 2γ-2: Oι C.A. σχηματίζονται συχνά και μεταξύ των κυττάρων του στρώματος. Στην περίπτωση αυτή εφ’ όσον υπάρχει διαθέσιμος χώρος, η μορφολογική εμφάνιση της δημιουργηθείσας αποικίας παρεκκλίνει του τυπικού λιθοστρώτου αποτελούμενη από κύτταρα μικρότερα, στρογγυλά και λιγώτερο πολυγωνικά. Σύγκριση με τις 2 C.A. των οποίων τα κύτταρα είναι κάτω από το στρώμα (βέλη) και σε φάση αρχόμενης ωρίμανσης (μείωση της πυκνότητας φάσης). Χρόνος καλλιέργειας 4 εβδομάδες. - Μεγέθυνση: x200 εικόνα
Εικ. 2γ-3: Tυπική C.A. μικρού μεγέθους από καλλιέργεια φυσιολογικού μυελού δύο εβδομάδων (περιβάλλεται από λεπτά βέλη). Διακρίνεται πλήθος φωτοδιαθλαστικών κυττάρων του υπερκειμένου. Τα μεγαλύτερα εξ αυτών (μεγαλύτερα βέλη) κιτρινωπής χροιάς, ανήκουν στην μεγακαρυοκυτταρική σειρά. -- Μεγέθυνση: x20 εικόνα
Εικ. 2γ-4: Τυπική C.A. μεγάλου μεγέθους από καλλιέργεια φυσιολογικού μυελού, 4 εβδομάδων. Η περιοχή της C.A. που υποδεικνύεται με βέλη εμπεριέχει κύτταρα με μειωμένη πυκνότητα φάσης (phase-density). Καθώς αυτά ωριμάζουν αποδεσμεύονται βαθμιαία απ’ την προστατευτική κάλυψη των κυττάρων του στρώματος και οδεύουν στο υπερκείμενο της καλλιέργειας. - Μεγέθυνση: x200 εικόνα
Εικ. 2γ-5: Αντιπροσωπευτική “μικτή” C.A. από καλλιέργεια 29 ημερών φυσιολογικού μυελού. Στο κέντρο της μεγάλης αυτής αποικίας εντοπίζονται κύτταρα (μειονότητα) με κανονική πυκνότητα φάσης (παχιά βέλη). Εκατέρωθεν αυτής παρατηρούνται δύο περιοχές (πλειονότητα κυττάρων – λεπτά βέλη) με συγκριτικά μειωμένη πυκνότητα φάσης και πολλά εξ αυτών είναι με ασαφή όρια. Σ’ όλα μειώνεται η σφριγηλότητά τους. Στα κύτταρα αυτά έχει ήδη αρχίσει, λόγω ωρίμανσής τους, η διαδικασία αποδέσμευσής τους απ’ το στρώμα. - Μεγέθυνση: x400 εικόνα
Εικ. 2γ-6: Τυπική C.A. του παθολογικού κλώνου στα “κακής πρόγνωσης” ΜΔΣ. Χαρακτηριστική άτονη, υποτονικά διαγραφόμενη (pale) αποικία μικρού μεγέθους, με μικρά δυσδιάκριτα κύτταρα με όρια ασαφή (βέλη) και χωρίς σφριγηλότητα. Καλλιέργεια μυελού από ΜΔΣ/RA ασθενή, 2 εβδομάδων. - Μεγέθυνση: x200 εικόνα
Εικ. 2γ-7: 17 ημερών καλλιέργεια δύο σταδίων με μυελό RA ασθενούς “κακής πρόγνωσης”. Η μορφολογία των κυττάρων (μείωση της πυκνότητας φάσης) προσομοιάζει με αυτήν των ωρίμων κυττάρων του φυσιολογικού μυελού 4ης -5ης εβδομάδας (σύγκριση με Εικ. 2γ-2 και Εικ. 2γ-5). Μικρά βέλη: φωτοδιαθλαστικά κύτταρα υπερκειμένου. Μεγαλύτερα βέλη: Μεγακαρυοκύτταρα. - Μεγέθυνση: x400 εικόνα
Εικ. 2γ-8: C.A. φυσιολογικού κλώνου από καλλιέργεια 5 εβδομάδων 5q- ασθενούς “καλής πρόγνωσης”. Η αποικία αποτελείται από σκοτεινόχροα κύτταρα “σφριγηλά” και πλήρως διακριτά (χαρακτηριστικό του φυσιολογικού κλώνου). Αριστερά διακρίνεται μία μικρότερη “μικτή” C.A. αποικία με κύτταρα φυσιολογικής (μικρά βέλη) και μειωμένης πυκνότητας φάσης (μεγαλύτερα βέλη). - Μεγέθυνση: x400 εικόνα
Εικ. 2γ-9: Χαρακτηριστική C.A. για MΔΣ/RA “καλής πρόγνωσης” (5q-, θρομβοκυττάρωση), από καλλιέργεια 3 εβδομάδων (περιβάλλεται από πολύ μικρά βέλη). Τα κύτταρα του λιθόστρωτου είναι άτονα συγκρινόμενα με τα αντίστοιχα σφριγηλά του φυσιολογικού κλώνου (Eικ. 2γ-8), γεγονός που υποδηλώνει πιθανή χαλαρή σύνδεσή τους με τα κύτταρα του στρώματος. Το μέγεθος των C.A. κυττάρων ποικίλλει. Παρατηρούνται αρκετά φωτοδιαθλαστικά κύτταρα του υπερκειμένου (μικρά βέλη) καθώς και κύτταρα της μεγακαρυοκυτταρικής σειράς (μεγαλύτερα βέλη). Πολλές αποικίες αυτού του μεγέθους και αυτής της μορφής παρατηρήθηκαν στα MΔΣ/RA/“καλής πρόγνωσης” μετά την 2η εβδομάδα μέχρι τέλος της 5ης εβδομάδας. - Μεγέθυνση: x400 εικόνα
Εικ. 2γ-10: Γιγαντιαίο μεγακαρυοκύτταρο σε υπερκείμενο καλλιέργειας δύο σταδίων, 30 ημερών από μυελό ασθενούς ΜΔΣ/5q-. Το κυτταρόπλασμα των μεγακαρυοκυττάρων είναι διαυγές, κρυσταλλικό και το κυτταρικό περίγραμμα σαφώς διαγεγραμμένο, με υψηλή φωτοδιαθλαστικότητα (σαν μία μαύρη γραμμή να υπάρχει περιμετρικά του κυττάρου). - Μεγέθυνση: x400 εικόνα
Εικ. 2δ-1: Aποικία CFU-E αποτελούμενη από δύο συσσωματώματα ερυθροβλαστών με καλώς ορατή την συντεθείσα αιμοσφαιρίνη, χρώματος ερυθροπορτοκαλοχρόου. Το CFU-E προγονικό κύτταρο δημιουργεί μικρότερες σε μέγεθος αλλά ταχύτερα ωριμάζουσες ερυθρές αποικίες, αποτελούμενες από ένα (Εικ. 2δ-1.1) ή δύο συσσωματώματα (παρούσα εικόνα) που περιέχουν συνολικά 8-100 ή 8-200 ερυθροβλάστες. - Μεγέθυνση: x200 εικόνα
Εικ. 2δ-1.1: Aποικία CFU-E ηλικίας 17 ημερών, αποτελούμενη από ένα συσσωμάτωμα ερυθροβλαστών. - Μεγέθυνση: x200 εικόνα
Εικ. 2δ-2: Ώριμη αποικία BFU-E με 3 συσσωματώματα πολύ κοντά μεταξύ τους. Δημιουργείται από προγονικό κύτταρο αρχαιότερο του CFU-E με μεγαλύτερη συνεπώς ικανότητα πολλαπλασιασμού, γι’ αυτό και οι αποικίες του είναι μεγαλύτερες. Αποτελείται από 200-500 ερυθροβλάστες που σχηματίζουν 3-8 συσσωματώματα. - Μεγέθυνση: x200 εικόνα
Εικ. 2δ-2.1: Η προηγούμενη εικόνα σε διπλάσια μεγέθυνση. - Μεγέθυνση: x400 εικόνα
Εικ. 2δ-3: Αρχέγονη BFU-E αποικία. Αποτελείται από 9 μικρά συσσωματώματα σε διαφορετικά επίπεδα. Κατατάσσεται στις ενδιάμεσες BFU-E αποικίες (από 9-16 συσσωματώματα με 500-104 ερυθροβλάστες). Με άνω των 16 συσσωματώματα (και άνω των 10.000 κυττάρων) μία BFU-E αποικία κατατάσσεται στις μεγάλες αρχέγονες. - Μεγέθυνση: x100 εικόνα
Εικ. 2δ-4: Αποικία CFU-M. Aποτελείται από κύτταρα της μονοκυτταρικής / μακροφαγικής σειράς με χαρακτηριστικά το κιτρινοκαστανό χρώμα και το κοκκώδες κυτταρόπλασμα. Το μέγεθός τους είναι μεγαλύτερο των κυττάρων των CFU-G αποικιών και στον χώρο διευθετούνται συνήθως χωρίς τάξη. - Μεγέθυνση: x400 εικόνα
Εικ. 2δ-5: Τυπική συμπαγής αποικία CFU-GM. Αποτελείται από ένα συμπαγές κέντρο (εξ ου και η ονομασία) με κύτταρα ουδετερόφιλα, και κύτταρα της μονοκυτταρικής σειράς περιμετρικά διασκορπισμένα. Μεγέθυνση: x100 εικόνα
Εικ. 2δ-6: Tυπική αποικία CFU-Eos. Χαρακτηριστικό της ηωσινόφιλης αποικίας είναι το συμπαγές σχήμα της και το καφετί χρώμα των κυττάρων, δύο μορφολογικά χαρακτηριστικά που διευκολύνουν την αναγνώρισή της. - Μεγέθυνση: x200 εικόνα
Εικ. 2δ-6.1: Η προηγούμενη εικόνα σε υποδιπλάσια μεγέθυνση. - Μεγέθυνση: x100 εικόνα
Εικ. 2δ-7: Τυπική αποικία της μεγακαρυοκυτταρικής σειράς, με λιγότερα από 50 κύτταρα. Μικρότερα κύτταρα παρόμοιας εμφάνισης ανευρίσκονται μεταξύ των μεγάλων κυττάρων (βέλη). Μπορούν να εμφανιστούν και μικρές κυτταροπλασματικές αποφύσεις (buddings, μικρά βέλη). - Μεγέθυνση: x400 εικόνα
Εικ. 2δ-7.1: Αποικία της μεγακαρυοκυτταρικής σειράς (CFU-Meg) από το υπερκείμενο καλλιέργειας δύο σταδίων ηλικίας 30 ημερών, από μυελό οστών ασθενούς με μυελοδυσπλαστικό σύνδρομο καλής πρόγνωσης (MDS/RA). Κάτω-αριστερά και άνω-δεξιά διακρίνονται οι μικρές κυτταροπλασματικές αποφύσεις σε 3 συνολικά κύτταρα. Επιπλέον, η σκουρόχρωμη χροιά αρκετών κυττάρων είναι ενδεικτικό σημείο γήρανσης. - Μεγέθυνση: x400 εικόνα
Εικ. 2δ-8: Συνύπαρξη αποικιών CFU-M και CFU-Meg. Τα μεγακαρυοκύτταρα διακρίνονται από τα μακροφάγα λόγω του σαφώς μεγαλυτέρου μεγέθους τους, και της απουσίας κιτρινοκαστανού κυτταροπλάσματος, που χαρακτηρίζει τα μακροφάγα. - Μεγέθυνση: x200 εικόνα
Εικ. 2δ-9: Mία τυπική CFU-GEMM αποικία 20 ημερών που περιέχει κύτταρα της ερυθράς σειράς, της μεγακαρυοκυτταρικής και της μακροφαγικής σειράς. Εν αντιθέσει με την πυκνή δομή των “εκρηκτικών” ερυθρών αποικιών (burst), το CFU-GEMM προγονικό κύτταρο σχηματίζει μία εστία της ερυθράς σειράς, και κοντά του είναι διασκορπισμένες ομάδες ημιδιαφανών κυττάρων της –GM και της –Meg σειράς. Η βαθμολόγηση γίνεται όπως των BFU-E αποικιών (18-21 ημέρες). - Μεγέθυνση: x200 εικόνα
Εικ. 2δ-10: Μεγέθυνση: x100 εικόνα και
Εικ. 2δ-11: Δύο εικόνες που δείχνουν την αξία χρήσης του κλιβάνου 3 αερίων. Πρόκειται για την ίδια BFU-E αποικία 17 ημερών, της οποίας τα επιμέρους συσσωματώματα είναι σε διαφορετικό επίπεδο στην πηκτή μεθυλοκελλουλόζης. Λόγω μη πλήρους ωριμάνσής της μεγάλο ποσοστό ερυθροβλαστών στερείται του χαρακτηριστικού ροδόχρου χρωματισμού, λόγω απουσίας σύνθεσης της αιμοσφαιρίνης. Έτσι τα 3 συσσωματώματα άνω-δεξιά (βέλη) που ανήκουν στο BFU-E σύμπλεγμα μπορούν εκ παραδρομής να εκληφθούν ως αποικίες CFU-M της μυελικής σειράς. Παρόμοια ακριβώς μορφολογική εικόνα παρουσιάζουν πολύ συχνά οι αποικίες της ερυθράς σειράς που δεν επωάζονται σε κλίβανο 3 αερίων με χαμηλή συγκέντρωση οξυγόνου (5%). - Μεγέθυνση: x100 εικόνα
Εικ. 3α-1: Aνάπτυξη μυκήτων σε καλλιέργεια Μ210Β4 κυττάρων. Διακρίνονται δύο αποικίες με ανεπτυγμένες τις μυκηλλιακές υφές των. Είναι εμφανής η αδυναμία δημιουργίας συρρέοντος στρώματος (διακρίνονται πολλοί διάσπαρτοι μεμονωμένοι ινοβλάστες μη καλώς ανεπτυγμένοι-μικρά βέλη). Η πλειονότητα των ινοβλαστικών κυττάρων αποκολλήθηκε από την βάση της φλάσκας και το αποτέλεσμα είναι ο τερματισμός της καλλιέργειας σε σύντομο χρονικό διάστημα. - Μεγέθυνση: x100 εικόνα
Εικ. 3γ-1: Έλεγχος βιωσιμότητας των Μ210Β4 κυττάρων μετά την απόψυξή τους απ’ το υγρό άζωτο. Καταμέτρηση των άχροων ζωντανών κυττάρων (μικρά βέλη) και των νεκρών κυττάρων (μαύρα, λόγω χρήσης διαλύματος νιγροσίνης-βέλη). - Μεγέθυνση: x100 εικόνα
Εικ. 3γ-2: Kαταμέτρηση εμπύρηνων αιμοποιητικών κυττάρων μυελού των οστών στην πλάκα Newbaüer. Οι πυρήνες των κυττάρων είναι ευδιάκριτοι λόγω βαφής τους με την χρωστική μπλε του μεθυλενίου. - Μεγέθυνση: x40 εικόνα
Εικ. 4α-1: Kaλλιέργεια 3 ημερών της κυτταρικής σειράς 5637 (ανθρώπινα επιθηλιακά καρκινικά κύτταρα ουροδόχου κύστεως). Το υπερκείμενο των καλλιεργειών τους περιέχει τους παραγόμενους αυξητικούς παράγοντες (C-kit ligand, IL-1, IL-6, GM-, G-CSF) και χρησιμοποιείται ως συστατικό θρεπτικών υλικών σε κλωνογόνες καλλιέργειες προγονικών αιμοποιητικών κυττάρων (ευγενής παραχώρηση της σειράς από το Paterson Institute, Christie Hospital - Manchester, UK). - Χρώση: Σαφρανίνη - Μεγέθυνση: x400 εικόνα


